Première consultation sur la gouttière Teens Aligner – désormais en ligne.
Corrige maintenant le chevauchement de tes dents grâce aux aligneurs (gouttières dentaires) de bestsmile, en seulement 3 à 12 mois. Dès 70 CHF/mois.
Prendre rendez-vousCorrige maintenant le chevauchement de tes dents grâce aux aligneurs (gouttières dentaires) de bestsmile, en seulement 3 à 12 mois. Dès 70 CHF/mois.
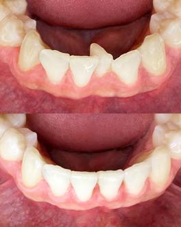
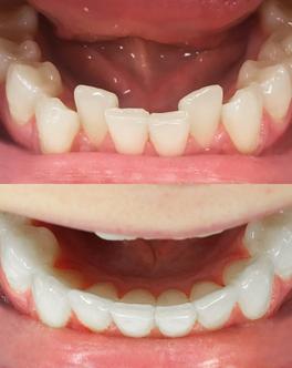
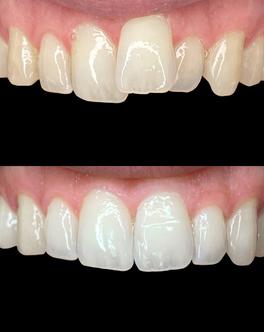
Prendre rendez-vousS'il n'y a pas assez de place pour les dents dans la mâchoire ou si les dents sont trop grandes ou trop larges par rapport à la mâchoire, elles peuvent se chevaucher et entraîner des encombrements encore appelés chevauchements. Les causes peuvent être multiples. Contrairement à ce que l'on pense souvent, dans la plupart des cas, les dents de sagesse n'en sont pas responsables. Les facteurs liés à la croissance et à la génétique ont une influence essentielle.
:quality(75)/f/80634/1044x1320/d2a176a9ec/use-case-single-causes.png)
L’encombrement créé par le chevauchement des dents rend une hygiène dentaire approfondie impossible ou nettement plus difficile. Beaucoup n’osent pas rire à pleine dents du fait de leur sourire à l’esthétique altérée.
Dans de nombreux cas, un encombrement peut être corrigé par un appareil dentaire amovible. Voilà comment ça fonctionne:
Des clients satisfaits
:quality(75))
Peut-on corriger un chevauchement des dents sans appareil dentaire?
Pour corriger un chevauchement, un traitement orthodontique ou médical est toujours nécessaire. Dans de nombreux cas, cela peut être traité avec succès par un appareil dentaire classique ou un traitement par aligneurs. On parle alors de stripping dentaire ou slicing, qui n’est autre qu’une réduction interdentaire de l'émail.
Peut-on corriger un chevauchement sans limer les dents (stripping dentaire ou slicing)?
Dans une certaine mesure et en fonction de l'état initial, il est possible de traiter un encombrement dans la zone des dents de devant sans qu’il soit absolument nécessaire de limer les dents, par exemple grâce à une bascule des dents ou à une légère expansion de l'arcade dentaire. Dans la plupart des cas, ces techniques sont combinées avec un léger stripping dentaire.
En orthodontie, le stripping dentaire (slicing) est considéré comme une alternative à l'extraction des dents. Lors d'un traitement classique avec un appareil dentaire traditionnel à bagues ou brackets, plusieurs extractions dentaires ont lieu en cas de malposition dentaire prononcée, afin de faire de la place pour un mouvement dentaire adéquat. Chez bestsmile, cela n'est pas nécessaire dans la plupart des cas grâce au «soft slicing» (léger limage ou stripping dentaire), car cette méthode douce permet de créer suffisamment d'espace pour remettre les dents dans la position souhaitée...
Le mini-espace nécessaire n'est pas visible à l'œil nu et est rapproché par le mouvement des dents provoqué par les aligneurs. Pour le stripping dentaire, on utilise une fine bande de polissage.
La caisse d'assurance maladie prend-elle en charge la correction d'une malocclusion dentaire ?
La prise en charge par l'assurance maladie du chevauchement/encombrement dentaire dépend de l'importance de la malocclusion. Le mieux est de contacter directement ta caisse d'assurance maladie pour plus d'informations.
Suivi dentaire
Notre équipe de médecins-dentistes et assistantes dentaires te conseille et t'accompagne tout au long de ton traitement.
swiss made
Tous les produits bestsmile sont fabriqués pour toi dans notre propre unité de production en Suisse.
Garantie de 10 ans
Nous assumons la responsabilité de ta correction dentaire. Tu bénéficies de 10 ans de garantie.
:quality(75))
Réserve maintenant une consultation avec Scan 3D offert
Prendre rendez-vous:quality(75)/f/80634/4096x3640/1d64166570/20210624_best_smile_day_2_neu1516_final.png)
Vor der Behandlung
CHF150.00
Wir benötigen vor Beginn deiner Behandlung ein Panoramaröntgenbild. Wenn du noch keines hast, erstellen wir gerne eines für dich.
CHF400.00
Je nach Zahnkorrektur kann es sein, dass du Attachments brauchst: Kleine Kunststoff-Elemente, die die Zahnbewegung mit Aligner unterstützen.
Nach der Behandlung
Gratuit
Die Retainer Schiene fixiert deine Zahnstellung nach deiner Behandlung und wird über Nacht getragen.
empfohlen
CHF500.00
Der Draht Retainer fixiert deine Zahnstellung nach deiner Behandlung langfristig – und du erhältst damit 10 Jahre Garantie.
CHF500.00
Die Knirschschiene schützt deine Zähne und entlastet deine Kiefermuskulatur im Schlaf.
Das finale Upgrade
Gratuit
Bei einer Behandlung beider Kiefer erhältst du ein Home Bleaching Kit kostenlos dazu.
CHF200.00
Zur Verschönerung des Zahnfleisches und Korrektur des Lippenbandes. Der letzte Feinschliff für dein neues Lächeln.
CHF3000.00
Zur Korrektur von fehlenden Zähnen. Für ein rundum harmonisches Zahnbild.
dès CHF300.00
Beseitige auch kleinste verbleibende Makel nach deiner Behandlung mit dem bestsmile Finishing.
Fermer
et tu en profites! Tu bénéficies d'un rabais spécial de 500 CHF sur ton traitement par aligneurs ou facettes dentaires.
Pour le faire valoir, choisis ton 1er RDV de scan 3D qui est offert, en cliquant sur le lien ci-dessous.
Plus d'informations: CGV